| 1 |
Normal |
Abnormal Right inferior orbital wall fracture (right orbital emphysema) |
Incorrect |
|
View
|
| 2 |
Abnormal fr rt ramus |
Normal |
Incorrect |
|
View
|
| 3 |
Abnormal fr rad head |
Abnormal Left radial head fracture |
Correct |
|
View
|
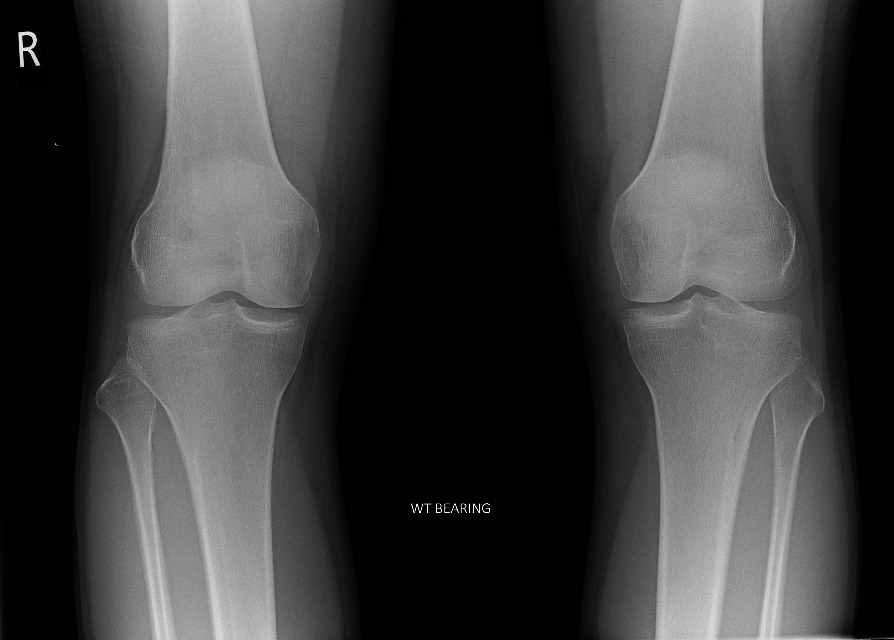
| 4 |
Normal |
Normal |
Correct |
|
View
|
| 5 |
Abnormal dis rad |
Abnormal Right distal radius Torus fracture |
Correct |
|
View
|
| 6 |
Abnormal sterno cl |
Normal |
Incorrect |
|
View
|
| 7 |
Abnormal fr tibia |
Abnormal Right tibial intercondylar fracture |
Correct |
|
View
|
| 8 |
Normal |
Normal |
Correct |
|
View
|
| 9 |
Abnormal fr tibia |
Abnormal Right distal tibial spiral fracture |
Correct |
|
View
|
| 10 |
Abnormal fr rad |
Abnormal Right distal radius torus fracture |
Correct |
|
View
|
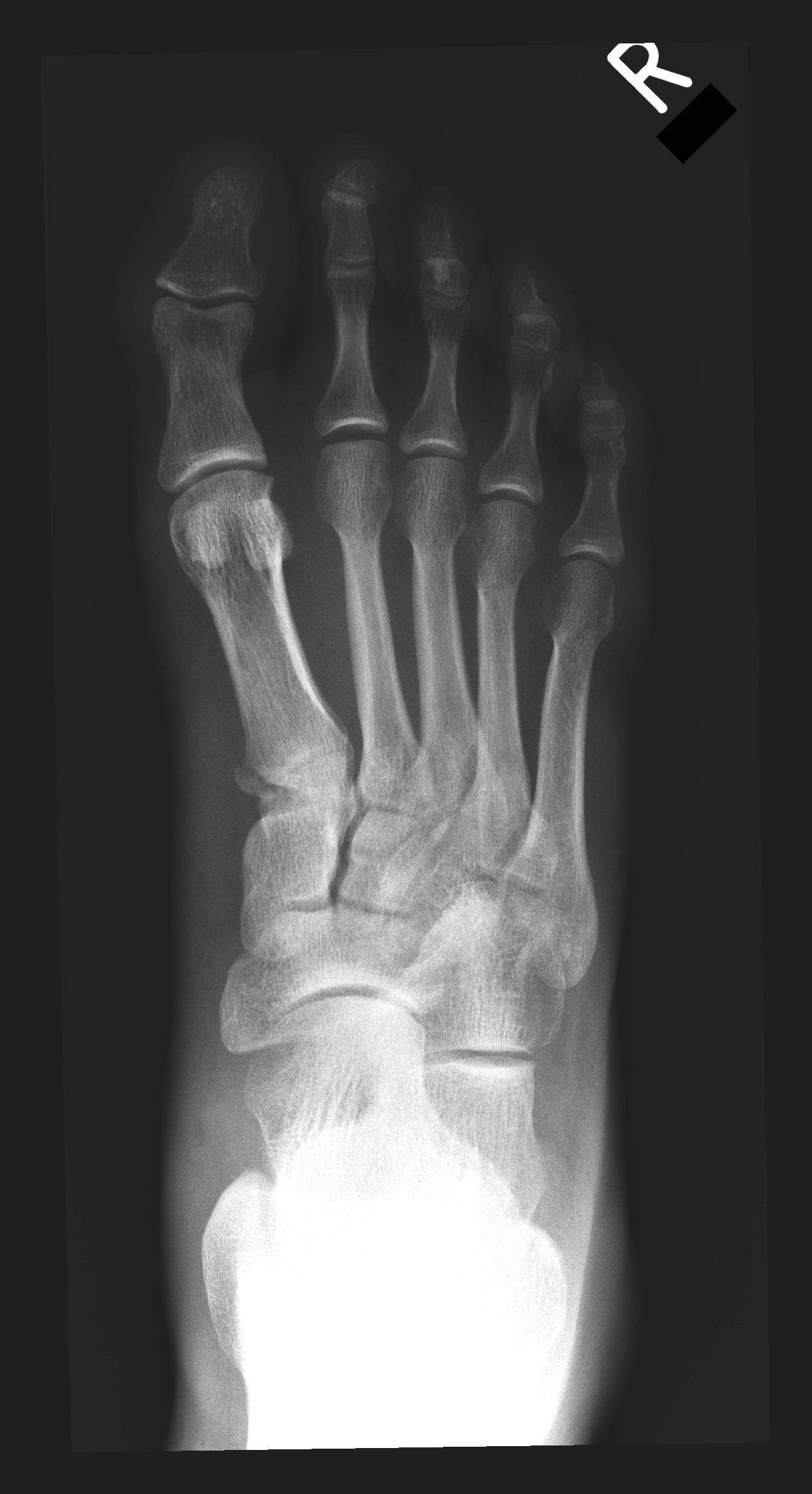
| 11 |
Abnormal fr first mt |
Abnormal Right first metatarsal base fracture |
Correct |
|
View
|
| 12 |
Normal |
Normal |
Correct |
|
View
|
| 13 |
Abnormal dis |
Abnormal Right shoulder posterior dislocation |
Correct |
|
View
|
| 14 |
Normal |
Normal |
Correct |
|
View
|
| 15 |
Abnormal fr pp |
Abnormal Right second proximal phalanx base fracture |
Correct |
|
View
|
| 16 |
Normal |
Normal |
Correct |
|
View
|
| 17 |
Abnormal dis rad |
Abnormal Right distal radius fracture |
Correct |
|
View
|
| 18 |
Abnormal pp little toe |
Abnormal Left fifth proximal phalanx base fracture |
Correct |
|
View
|
| 19 |
Abnormal 5 mc |
Abnormal Left base of fifth metacarpal fracture |
Correct |
|
View
|
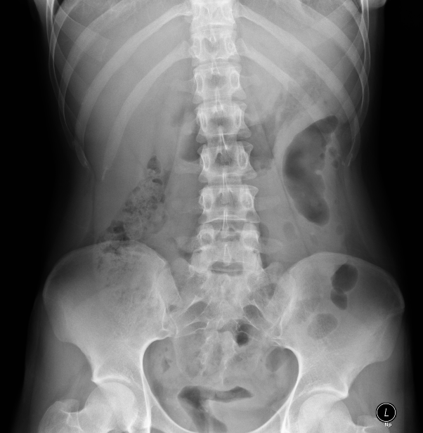
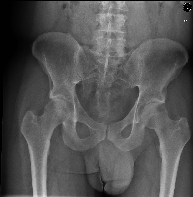
| 20 |
Abnormal rt nof |
Normal |
Incorrect |
|
View
|
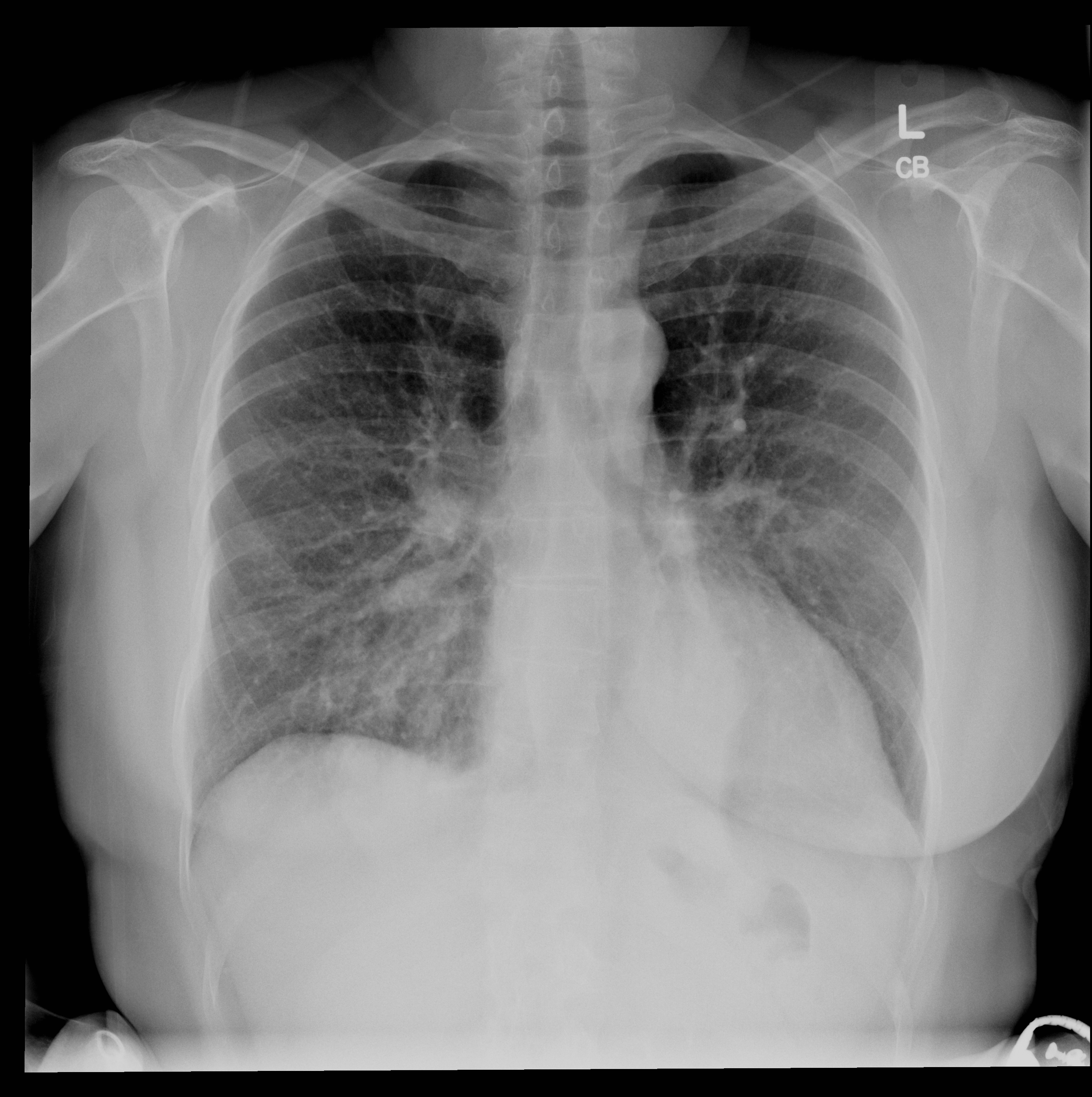
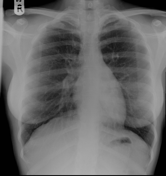
| 21 |
Abnormal lt ll collapse |
Abnormal Left lower lobe collapse |
Correct |
|
View
|
| 22 |
Normal |
Normal |
Correct |
|
View
|
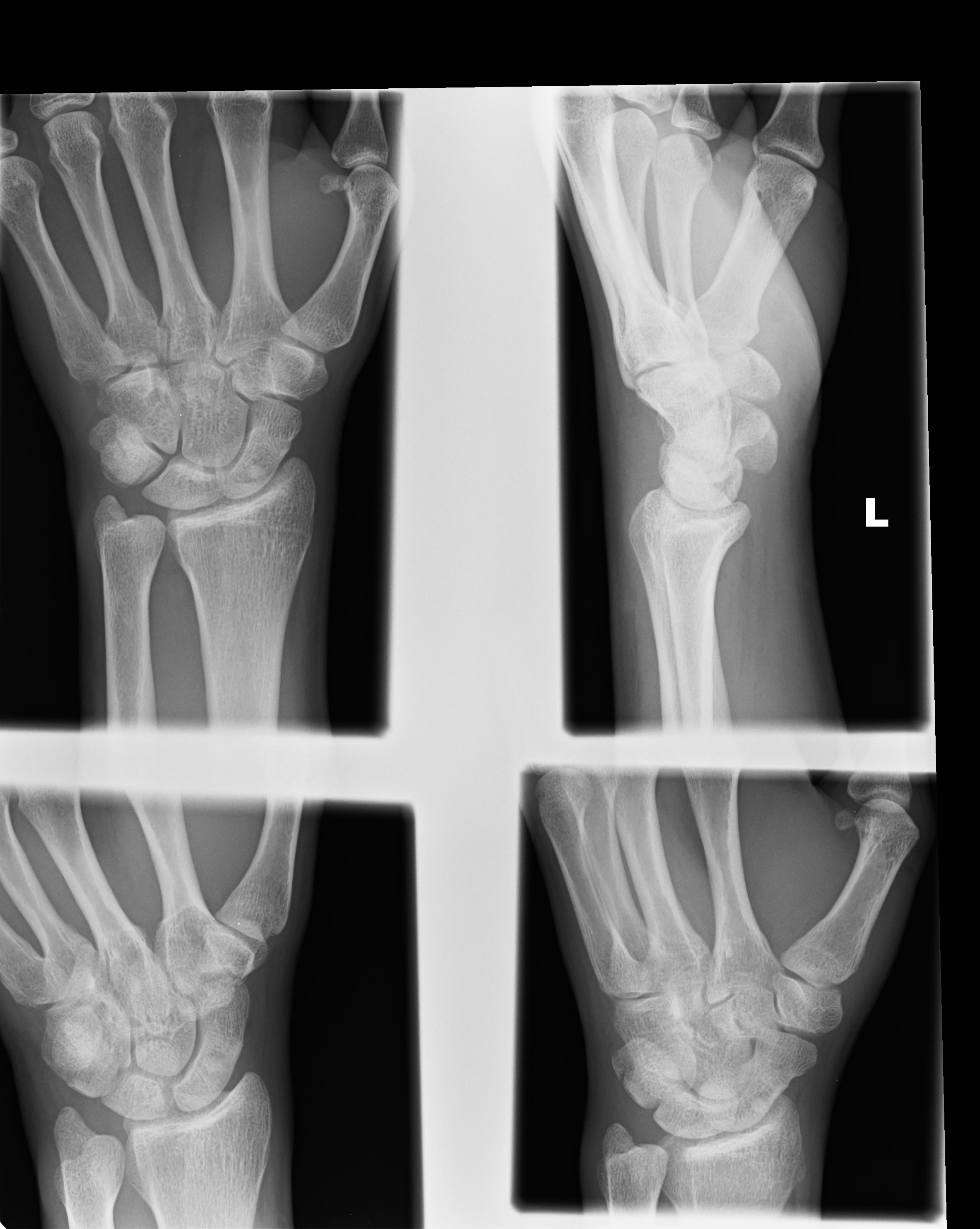
| 23 |
Abnormal fr pisiform |
Abnormal Left triquetral fracture |
Correct |
|
View
|
| 24 |
Normal |
Normal |
Correct |
|
View
|
| 25 |
Abnormal fr mp |
Abnormal Left third middle phalanx fracture |
Correct |
|
View
|
| 26 |
Normal |
Normal |
Correct |
|
View
|
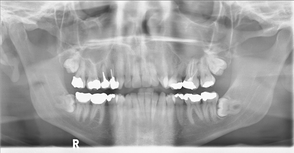
| 27 |
Abnormal fr lt mand condyle |
Abnormal Left mandibular condyle fracture |
Correct |
|
View
|
| 28 |
Abnormal ll col |
Abnormal Left upper lobe lung nodule |
Please check |
Correct |
View
|
| 29 |
Normal |
Normal |
Correct |
|
View
|
| 30 |
Abnormal fr hamate |
Abnormal Right hamate and fourth metacarpal base fractures |
Correct |
|
View
|
|
|
|
|
BACK TO TEST SETS
|
|