| 1 |
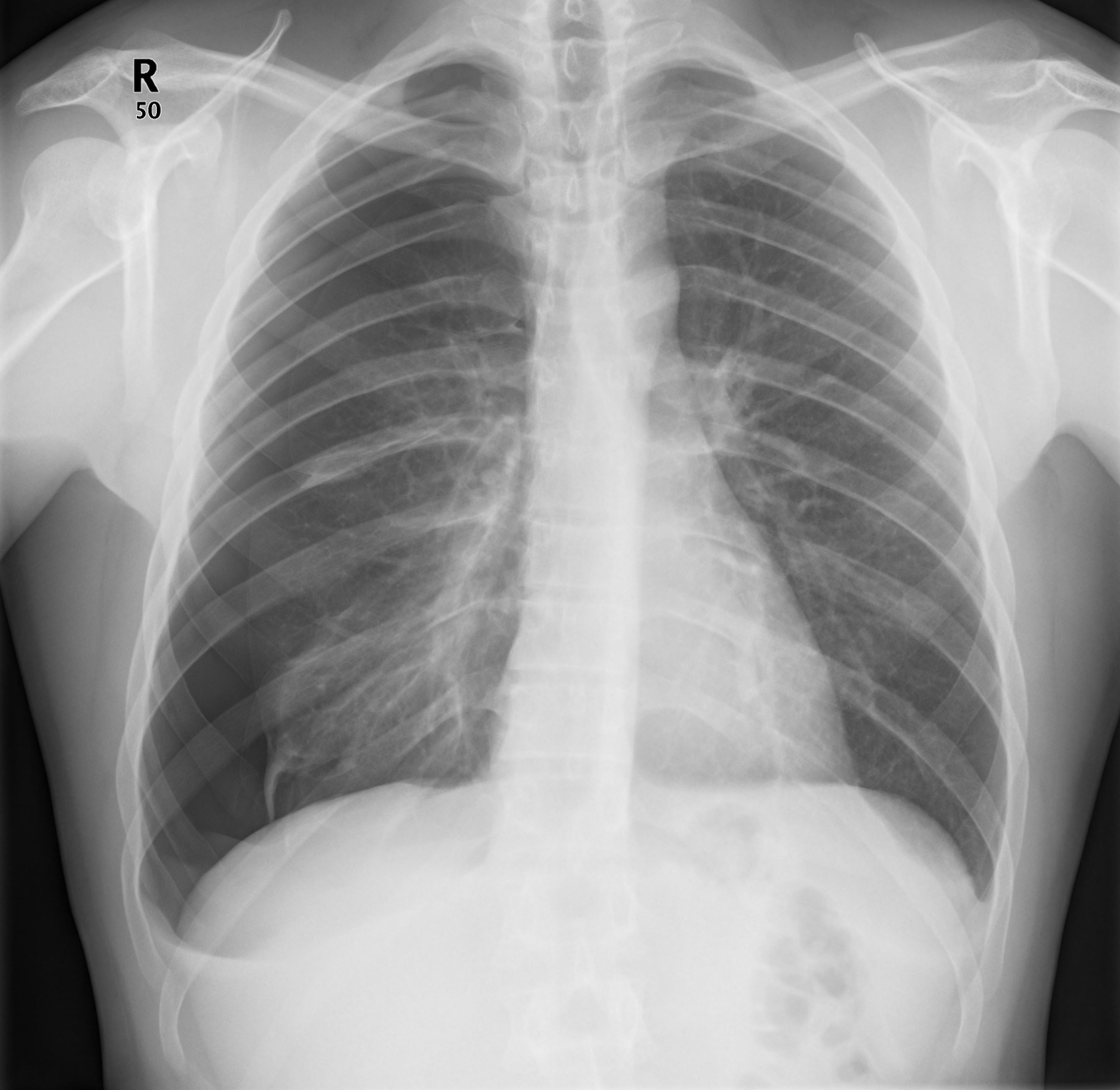
Normal |
Normal |
Correct |
|
View
|
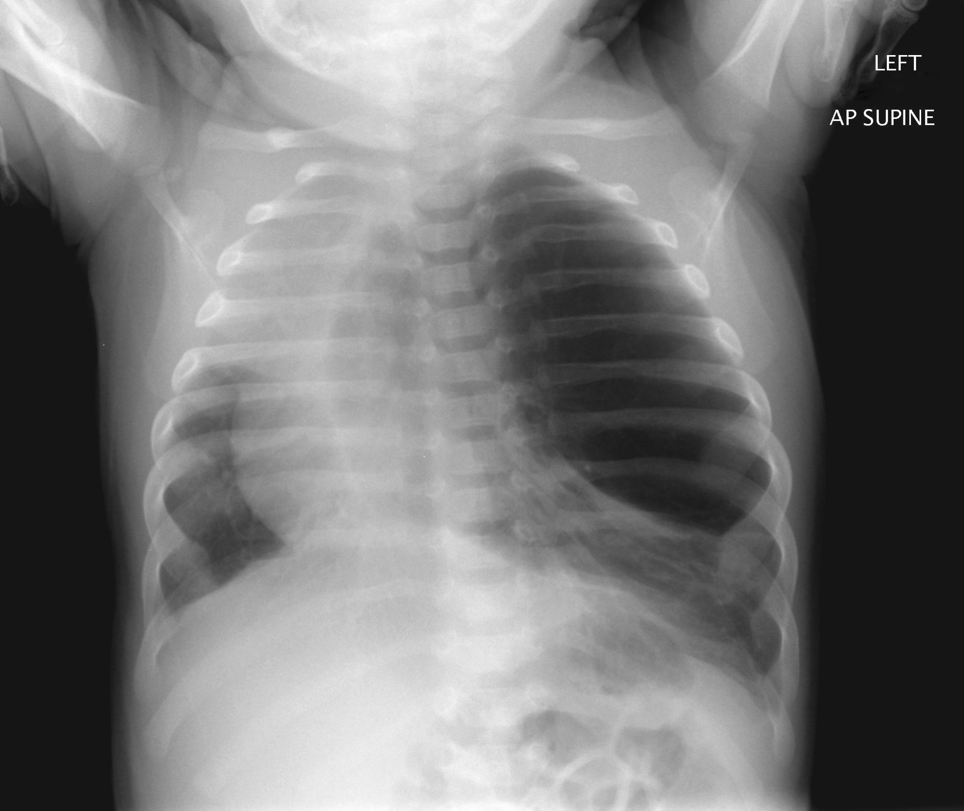
| 2 |
Abnormal ptx cle |
Abnormal Left upper lobe congenital lobar emphysema |
Correct |
|
View
|
| 3 |
Abnormal ac d |
Abnormal Right acromioclavicular joint subluxation |
Correct |
|
View
|
| 4 |
Abnormal fr patella |
Abnormal Left lower pole patella fracture |
Correct |
|
View
|
| 5 |
Normal |
Normal |
Correct |
|
View
|
| 6 |
Normal |
Normal |
Correct |
|
View
|
| 7 |
Normal |
Normal |
Correct |
|
View
|
| 8 |
Abnormal tibial shaft |
Abnormal Stress fracture of right proximal tibia |
Correct |
|
View
|
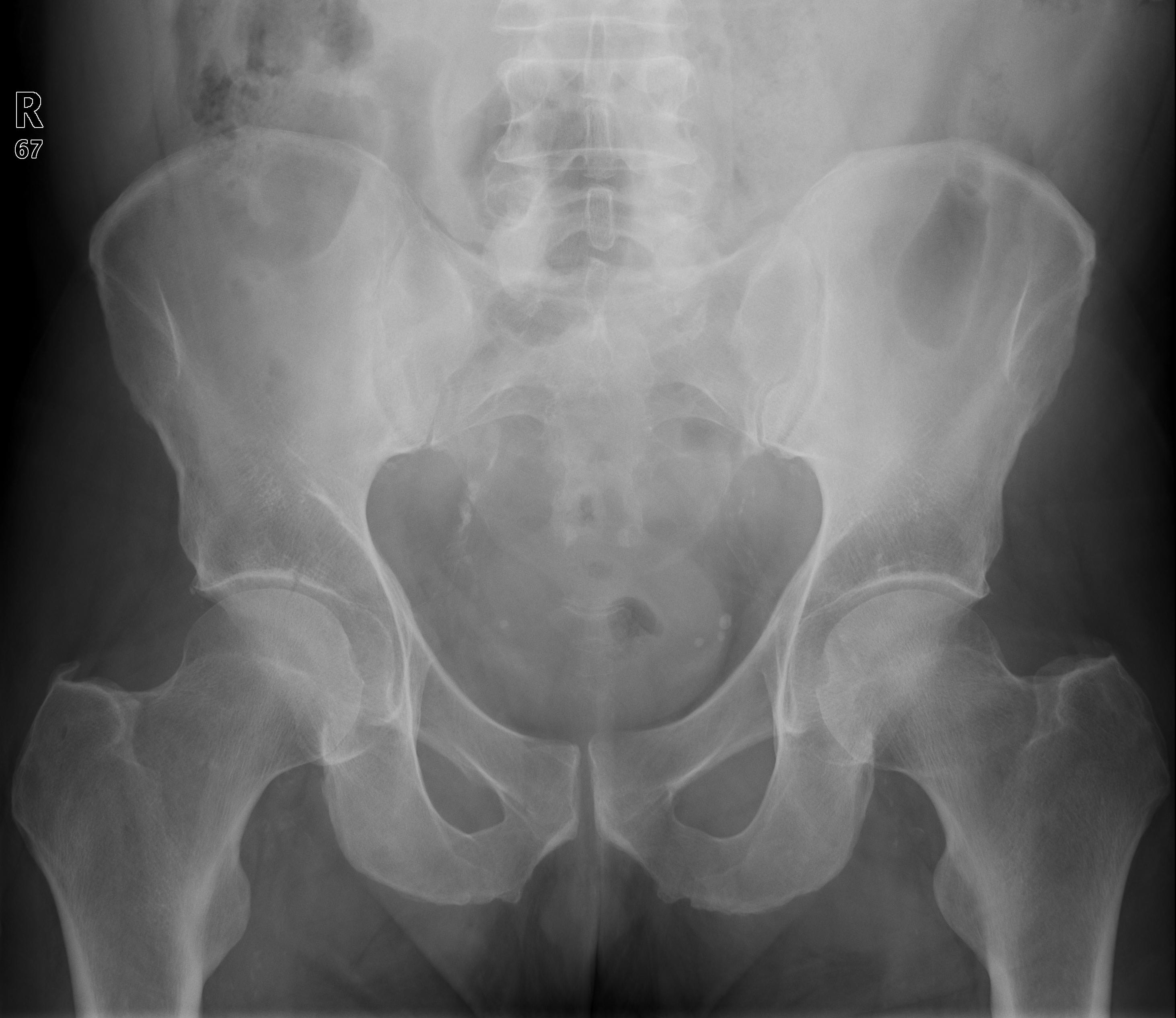
| 9 |
Abnormal rt acetab |
Abnormal Right acetabular fracture |
Correct |
|
View
|
| 10 |
Abnormal dis |
Abnormal Left shoulder anterior dislocation |
Correct |
|
View
|
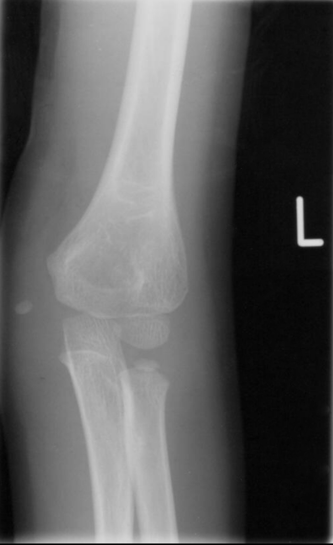
| 11 |
Normal |
Abnormal Right radial neck fracture |
Incorrect |
|
View
|
| 12 |
Normal |
Normal |
Correct |
|
View
|
| 13 |
Normal |
Normal |
Correct |
|
View
|
| 14 |
Normal |
Normal |
Correct |
|
View
|
| 15 |
Abnormal av of med epi |
Abnormal Left medial epicondyle of humerus avulsion |
Correct |
|
View
|
| 16 |
Normal |
Normal |
Correct |
|
View
|
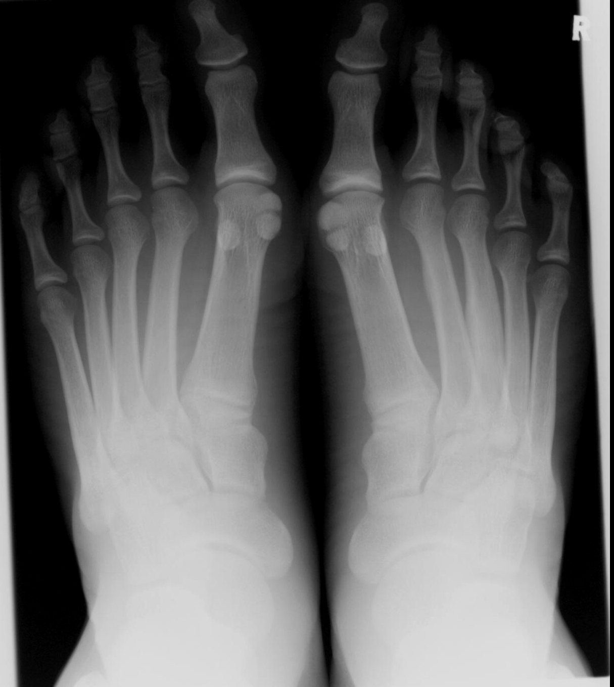
| 17 |
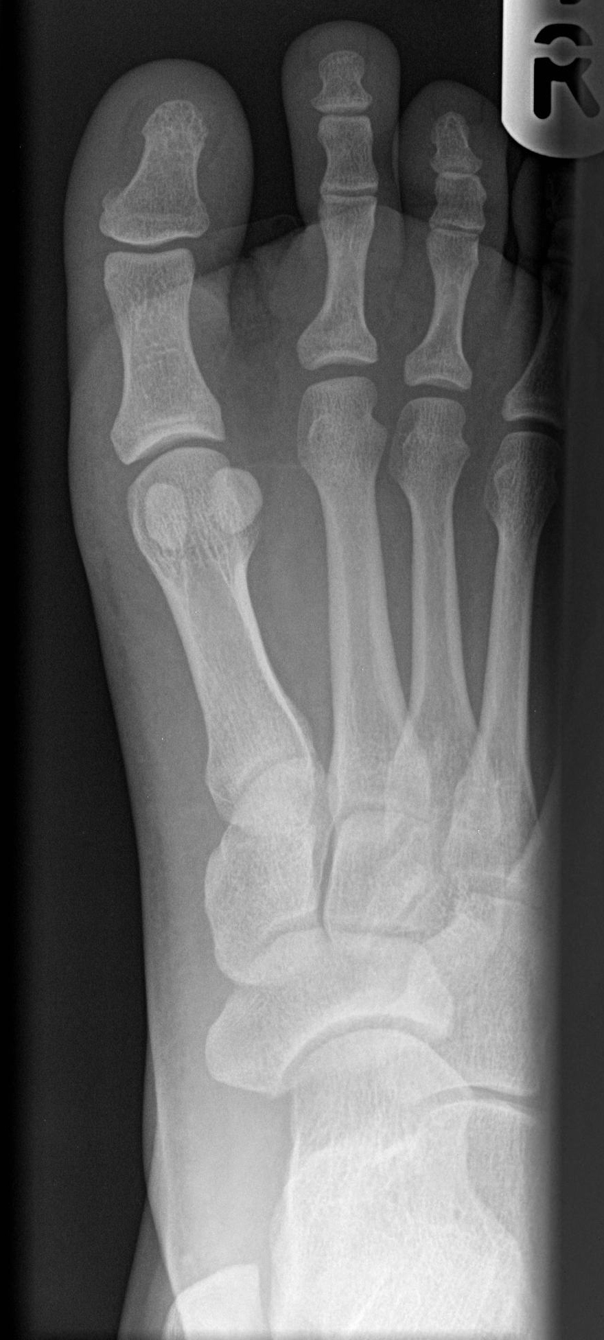
Abnormal 2 mt |
Abnormal Right second metatarsal stress fracture |
Correct |
|
View
|
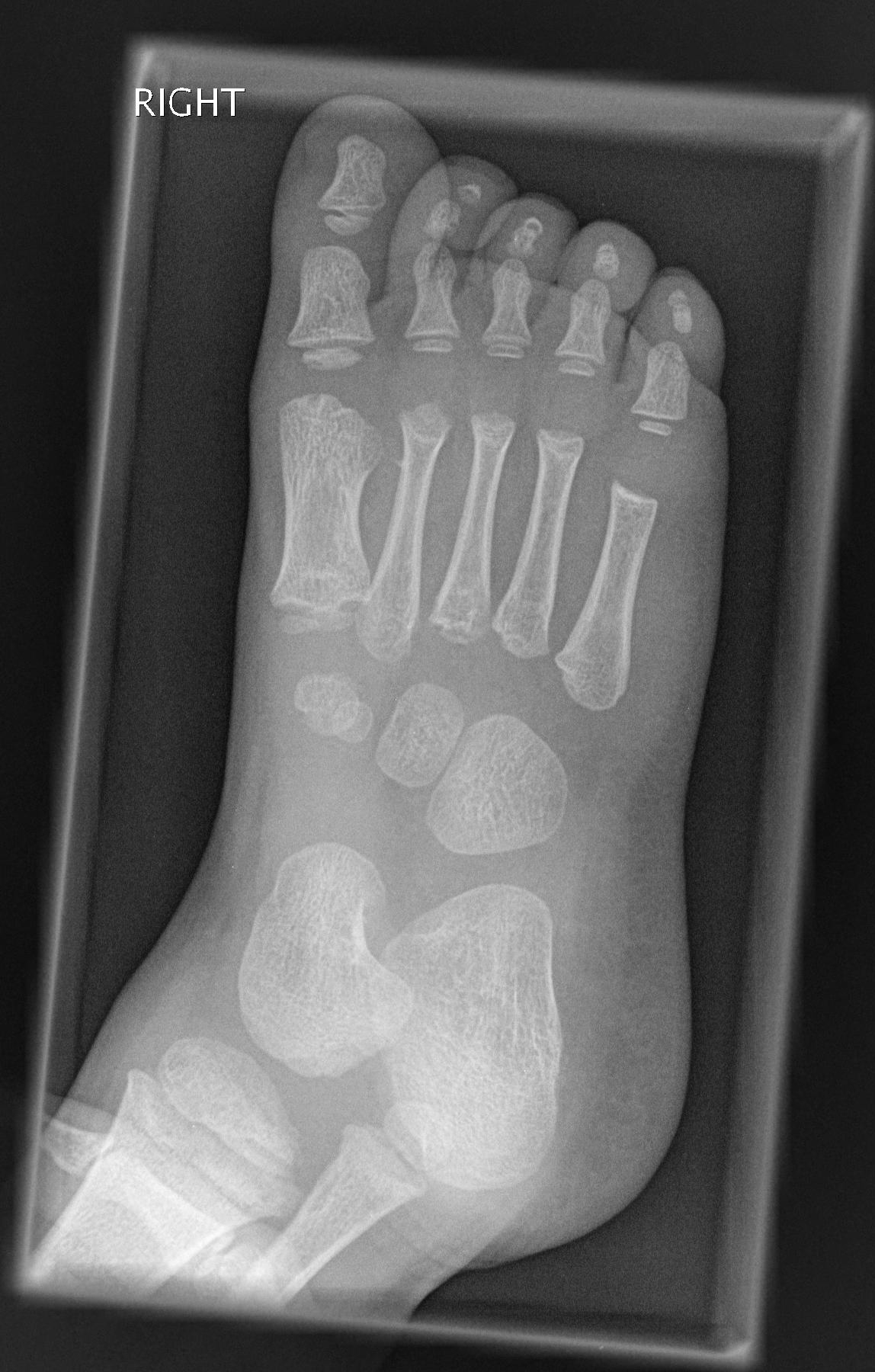
| 18 |
Abnormal dis tibia |
Normal |
Incorrect |
|
View
|
| 19 |
Normal |
Normal |
Correct |
|
View
|
| 20 |
Abnormal post fis |
Abnormal Left shoulder posterior dislocation |
Correct |
|
View
|
| 21 |
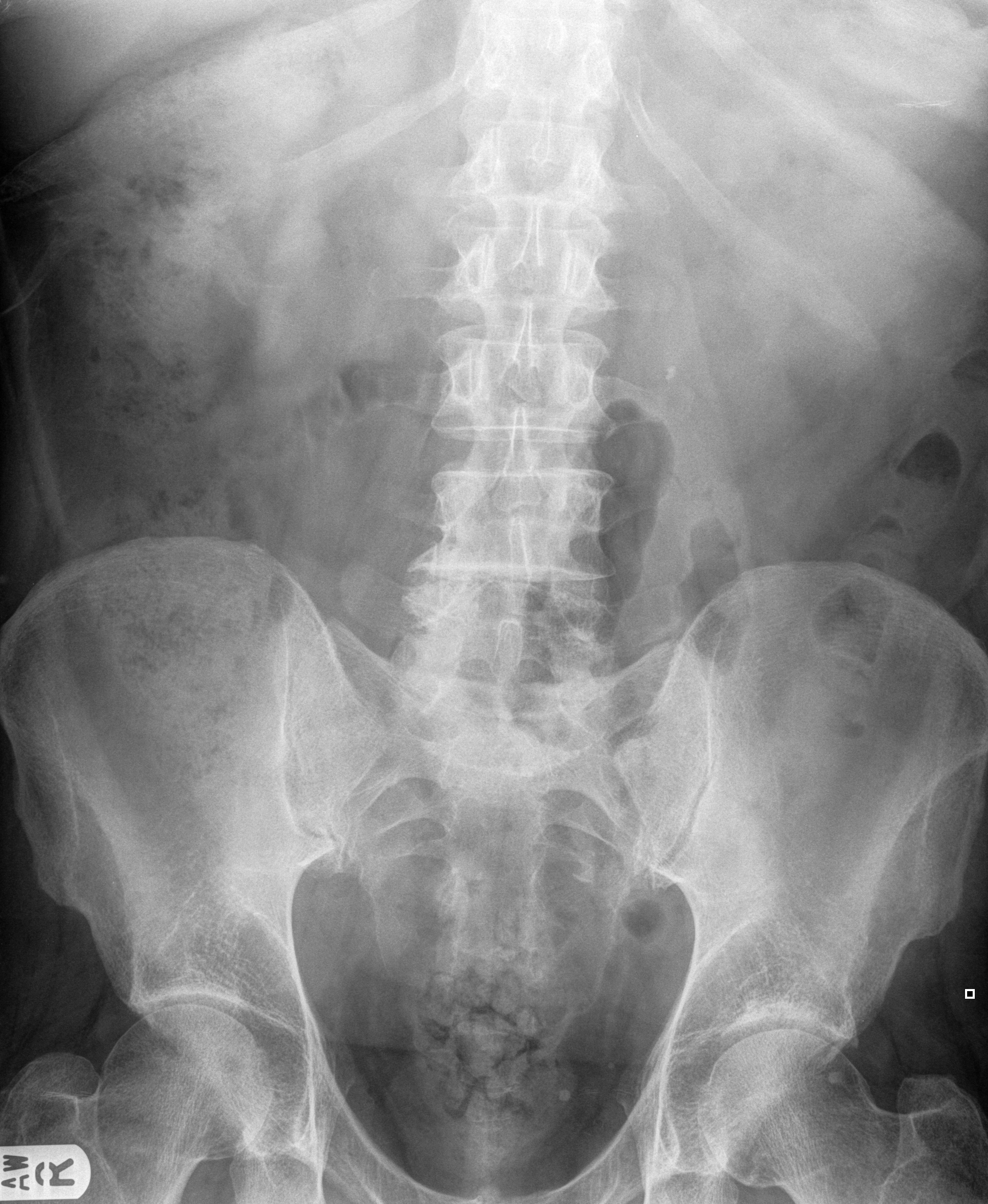
Abnormal lt stone |
Abnormal Left ureteric calculi |
Correct |
|
View
|
| 22 |
Normal |
Normal |
Correct |
|
View
|
| 23 |
Normal |
Abnormal Left tibial spine avulsion fracture |
Incorrect |
|
View
|
| 24 |
Abnormal rt ptx |
Abnormal Right pneumothorax |
Correct |
|
View
|
| 25 |
Normal |
Normal |
Correct |
|
View
|
| 26 |
Normal |
Normal |
Correct |
|
View
|
| 27 |
Abnormal lytic lesion in lt sacrum |
Abnormal Destructive left sacral lesion |
Correct |
|
View
|
| 28 |
Normal |
Normal |
Correct |
|
View
|
| 29 |
Normal |
Abnormal Prevertebral soft tissue swelling |
Incorrect |
|
View
|
| 30 |
Abnormal fr rt orbital floor |
Abnormal Right Tripod fracure |
Correct |
|
View
|
|
|
|
|
BACK TO TEST SETS
|
|